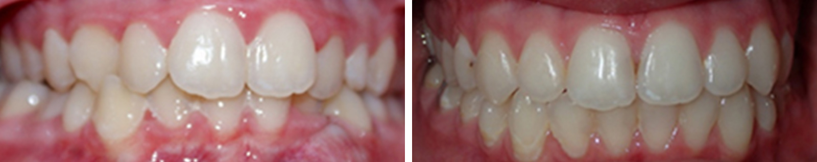
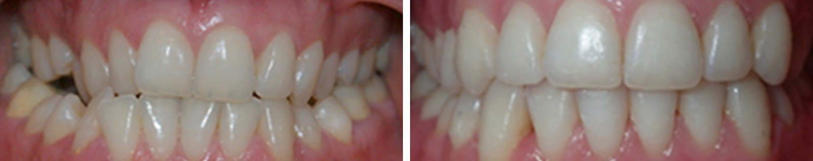
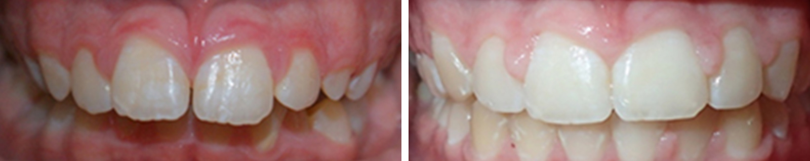
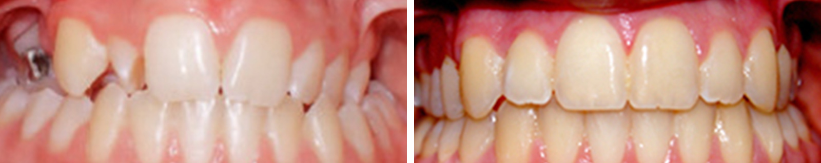
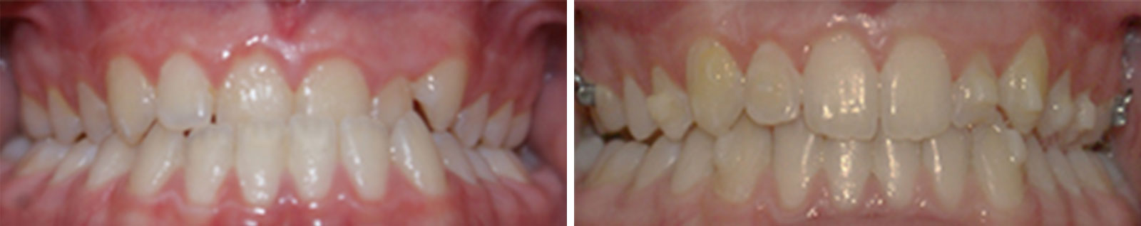
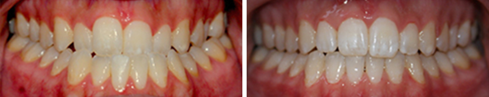
Before & After Smile Gallery

Newton Center and Concord Family Orthodontics Special Offer

$750 Off Your Treatment

Applicable during Holidays and Summer. Call our office for details.

Schedule an Appointment
Newton Center and Concord Family Orthodontics Special Offer

Save 20-50% with Dentemax

Save 20-50% on your dental care today. Call our office for details.

Schedule an Appointment






2 Convenient Massachusetts Locations